۲۰ آبان ۱۴۰۴
به روز شده در: ۲۰ آبان ۱۴۰۴ - ۰۲:۰۰
فیلم بیشتر »»
کد ۵۹۹۷۹۴
انتشار: ۰۹:۳۶ - ۲۸-۱۲-۱۳۹۶

مردی که بخشی از مغزش ناپدید شد (+عکس)

مرد به خاطر افزایش دفعات زمین خوردن و احساس عدم تعادل طی چند ماه گذشته به بیمارستان مراجعه کرد و سه روز پیش از مراجعه به پزشک در سمت چپ صورتش احساس ضعف می‌کرد. از آنجایی که عدم تعادل حرکتی و بی‌حسی یک‌طرفه بدن در کنار هم می‌توانند نشانه سکته مغزی باشند، پزشکان از مغز مرد عکسبرداری کردند.

همشهری آنلاین - این پدیده بسیار نادر اما شناخته شده‌است و به واسطه پوکی استخوان سینوسی ایجاد می‌شود. پزشکان همچنین دریافتند بیمار به دلیل فشاری که به مغزش وارد شده‌بود،‌سکته خفیف مغزی را نیز رد کرده‌بود. در نهایت پزشکان به بیمار اعلام کردند برای درمان مرد باید تحت جراحی سنگین مغز قرار گیرد تا هوای درون جمجمه تخلیه شود...

مردی ۸۴ ساله ایرلندی به دلیل عدم تعادل به پزشک مراجعه می‌کند تا دلیل ناخوشی‌اش را دریابد،‌ اما پزشکان با معاینه‌ او به پدیده‌ای عجیب پی‌بردند.

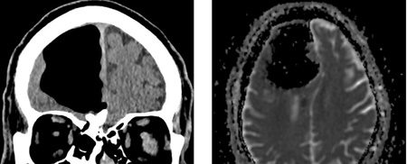
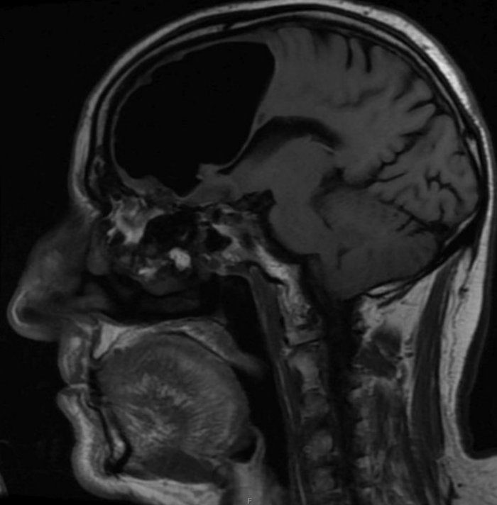
بر اساس گزارش ساینس الرت، تصاویر سی‌تی‌اسکن مغز این بیمار نشان داد، بخش بزرگی از لوب پیشانی راست مغز مرد ناپدید شده‌ است.

مردی که بخشی از مغزش ناپدید شد (+عکس)

مرد به خاطر افزایش دفعات زمین خوردن و احساس عدم تعادل طی چند ماه گذشته به بیمارستان مراجعه کرد و سه روز پیش از مراجعه به پزشک در سمت چپ صورتش احساس ضعف می‌کرد. از آنجایی که عدم تعادل حرکتی و بی‌حسی یک‌طرفه بدن در کنار هم می‌توانند نشانه سکته مغزی باشند، پزشکان از مغز مرد عکسبرداری کردند.

نتیجه سی‌تی‌اسکن گیج‌کننده بود، حفره‌ای بزرگ و سیاه به وسعت 9 سانتیمتر در لوب پیشانی سمت راست مرد دیده می‌شد. در مرحله بعدی مغز مرد با دستگاه MRI مورد بررسی قرار گرفت و پزشکان دریافتند ماده مغزی در جمجمه بیمار ناپدید نشده‌است، بلکه درون جمجمه‌اش حفره‌ای از هوا به نام پنوماتوکوئل ایجاد شده‌بود که معمولا در بیمارانی دیده می‌شود که دچار آسیب‌دیدگی صورت یا عفونت تنفسی شده‌اند یا در جمجمه آنها جراحی انجام شده‌ است.

اما هیچ‌یک از این عوامل در این بیمار به ایجاد این پنوماتوکوئل بزرگ منجر نشده‌ بود. پزشکان همچنین در استخوان اتموئید مغز مرد،‌استخوانی که حفره تنفسی را از مغز جدا می‌کند، نوعی تومور خوش‌خیم پیدا کردند. این بخش آسیب‌دیده استخوانی باعث شده بود تا هوا به درون جمجمه نشت کرده و پدیده ای به نام تاثیر لوله یک‌طرفه ایجاد کند.

مردی که بخشی از مغزش ناپدید شد (+عکس)

این پدیده بسیار نادر اما شناخته شده‌ است و به واسطه پوکی استخوان سینوسی ایجاد می‌شود. پزشکان همچنین دریافتند بیمار به دلیل فشاری که به مغزش وارد شده‌ بود،‌ سکته خفیف مغزی را نیز رد کرده‌ بود.

در نهایت پزشکان به بیمار اعلام کردند برای درمان مرد باید تحت جراحی سنگین مغز قرار گیرد تا هوای درون جمجمه تخلیه شود، استخوان آسیب‌دیده ترمیم شود و تومور نیز از جمجمه خارج شود. بیمار پس ازط شنیدن مخاطرات این جراحی از انجام آن انصراف داد و پس از دریافت درمان‌های پیشگیری از سکته مغزی، از بیمارستان مرخص شد.

 

برچسب ها: مرد ، ناپدید شدن مغز
ارسال به دوستان
ورود کد امنیتی
captcha